Trench mouth, also known as acute necrotizing ulcerative gingivitis, is a severe kind of gum disorder that can develop infected, inflamed gums. Though trench mouth is somewhat unusual in recent times, it remains prevalent in certain persons, particularly those with weakened immune systems or inadequate dental hygiene practices as told by family dental care in Mitchell, SD. This essay examines and explores trench mouth causes, symptoms, identification, management as well as prevention tendencies.
Causes of Trench Mouth
Trench mouth occurs when bacteria grow excessively in the mouth, typically due to inadequate oral cleanliness. Poor oral cleanliness is frequently linked to a reduced body’s capacity to fight infection, stress, cigarette smoking and vaping, malnutrition, and specific other illnesses. Injuries or damage to the gums boost the frequency of people becoming infected with trench mouth.
Symptoms of Trench Mouth
Trench mouth signs can start unexpectedly; they comprise:
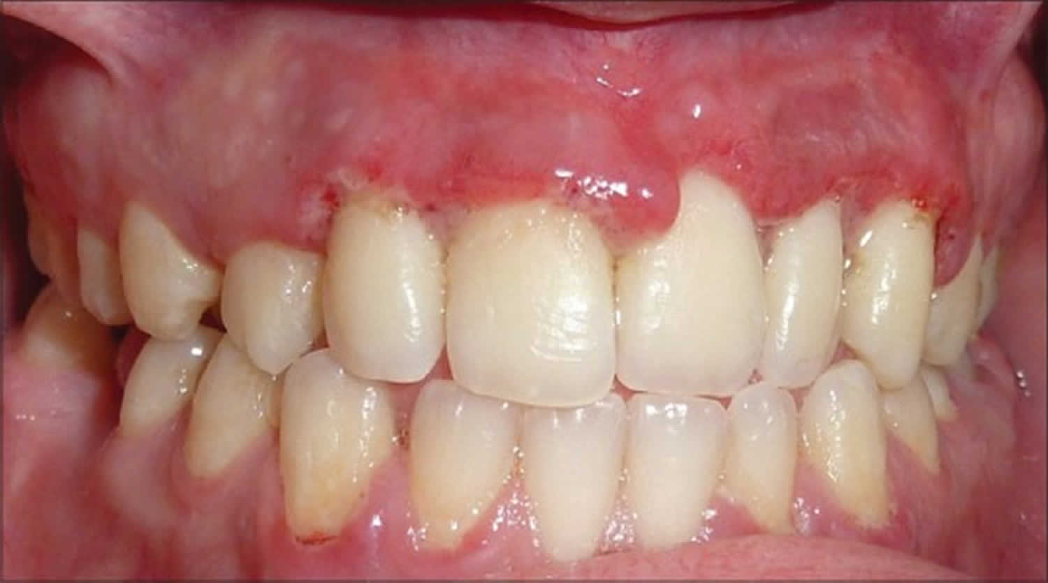
- Severe gum discomfort as well as inflammation
- Bleeding gum, particularly during tooth cleaning and flossing
- The gums are wounded or have sores in or on them.
- Grayish film on the gums
- Bad breath
- Serious situations of fever as well as tiredness
How Does a Dentist Determine If I Have Trench Mouth?
A dentist or dental specialist can verify the diagnosis of trench mouth by examining the inside of your mouth and enquiring about your health. As well as performing oral surgery, a dentist may obtain a specimen of the infected tissue for further assessment to eliminate other possible causes.
Treatment of Trench Mouth
When a patient is diagnosed with trench mouth, appropriate therapy usually includes a mixture of professional oral hygiene and at-home oral hygiene practice. Therapy for trench mouth may involve the following, which fluctuates depending on the intensity of the condition:
- Professional cleaning
- Rinses with warm salt water
- Antibiotics reduce inflammation and combat infections.
- Pain removers
- Cleaning and flossing and antibiotic mouthwash.
Treatment of Trench Mouth may assist, and with early identification and treatment, most people will recover in the long term. Improved overall well-being and disease resistance are the most fantastic approaches to decreasing your danger of developing trench mouth and other oral health dangers by managing good oral cleanliness and gums. Suppose you discover a leaking tooth or inflamed gum signs. In that case, you should call a doctor as well as a dentist.










